Análisis cuantitativo de placa coronaria
Otro eje de innovación es el análisis cuantitativo de placa coronaria mediante tomografía, en colaboración con plataformas especializadas como cvi42 de Circle Cardiovascular Imaging.
Este tipo de análisis permite:
- Medir volumen de placa.
- Caracterizar su composición.
- Evaluar distribución y progresión.
- Obtener mediciones reproducibles y estandarizadas.
La cuantificación objetiva mejora la investigación, facilita comparaciones longitudinales y contribuye a estudios multicéntricos con criterios homogéneos.
Presencia internacional en SCMR
El impacto de estas líneas de trabajo se reflejó en la aceptación de múltiples casos y presentaciones científicas en el congreso de la Society for Cardiovascular Magnetic Resonance, uno de los foros más importantes del mundo en resonancia magnética cardíaca.
La aceptación en JCMR 2026 confirma la calidad metodológica y científica del trabajo realizado. No se trata únicamente de reportar casos, sino de aportar conocimiento con valor académico internacional.
De la práctica diaria a la evidencia científica
Cada estudio realizado en la práctica clínica representa una oportunidad de aprendizaje. Cuando ese aprendizaje se sistematiza, se analiza críticamente y se documenta con rigor, se convierte en ciencia.
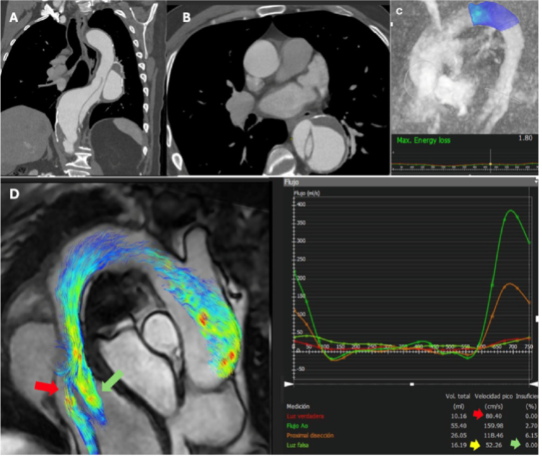
La participación en registros como IINCA-LATAM, el desarrollo de protocolos con 4D Flow y análisis cuantitativo de placa coronaria, así como la presencia en congresos internacionales como SCMR, reflejan una filosofía clara:
La imagen cardiovascular no solo diagnostica. También investiga, innova y construye futuro.
Un compromiso que trasciende fronteras
Formar parte de proyectos internacionales y publicar en foros de alto impacto no es un objetivo aislado. Es consecuencia de una visión institucional que integra:
- Rigor clínico.
- Innovación tecnológica.
- Trabajo multidisciplinario.
- Formación académica continua.
- Colaboración internacional.
Desde América Latina, es posible generar evidencia con estándares globales. La integración de Grupo CT Scanner a IINCA-LATAM y su presencia en SCMR lo confirman.
La investigación cardiovascular en la región no solo está creciendo. Está consolidándose.